搜索
021-58153560
469340997@qq.com
Toggle navigation
首页
产品中心
抗体
病理抗体
一抗
内参抗体
标签抗体
二抗/同型对照
试剂盒
多重免疫荧光试剂盒
Edu增殖试剂盒
Tunel试剂盒
免疫组化试剂盒
组织染色
WGA染色试剂盒
细胞检测
辅助试剂
设备软件
类器官培养试剂盒
组织芯片制备材料及工具
WB试剂耗材
荧光淬灭系统
技术服务
标本前处理
自发荧光淬灭
染色类
免疫组化
免疫荧光
多重免疫荧光
普通切片多标染色
普通切片多重免疫荧光染色-预实验
组织芯片多标染色
组织芯片多重免疫荧光染色-预实验
普通切片多标(染色+扫描)
组织芯片多标(染色+扫描)
普通切片多标染色(染色+扫描+分析)
组织芯片多标(染色+扫描+分析)
扫描/拍照
Tunel检测
鬼笔环肽染色
分析项目
基础分析
进阶分析
促销中心
资讯中心
产品进展
公司动态
技术资料
下载中心
关于我们
公司简介
加入我们
联系我们
技术服务
Technical Service
首页
产品中心
抗体
一抗
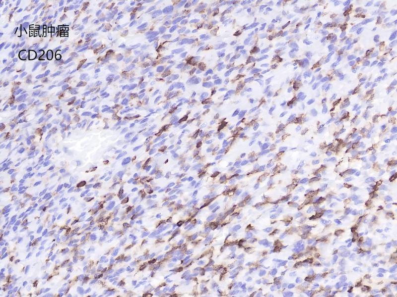
Mannose Receptor(CD206)Antibody
宿主:
Rabbit
反应种属:
Mouse,Rat
应用:
IHC-P, mIHC,IF
货号:
ABB00004
20μl
¥680
50μl
¥1200
100μl
¥2200
500μl
询价
1mL
询价
询价
产品说明书下载
产品信息
产品介绍
技术文档
FAQ
辅助试剂推荐
产品名称
Mannose Receptor(CD206)Antibody
来源宿主:
Rabbit
反应种属:
Mouse,Rat
克隆类型
Rabbit monoclonal
克隆号
07-76
同种型
IgG
标记
unconjugated
纯化方式
Protein A affinity purified
形式
Liquid
存储溶液
PBS (pH7.4),0.05% BSA,40% Glycerol. Preservative: 0.05% Sodium Azide.Stable for 12 months.
存储方式
Store at +4℃ after thawing. Aliquot store at -20℃. Avoid repeated freeze / thaw cycles.Stable for 12 months.
应用
IHC-P, mIHC,IF
使用方法
IHC-P:1:50-1:200;mIHC:1:50-1:200;IF:1:50-1:100
有效期
one year
别名
CD206,Macrophage mannose receptor 1 ,MRC1,Mannose receptor C type 1
免疫原
Recombinant protein within mouse Mannose Receptor(CD206) aa 1-1,409.
SwissProt
Q61830
细胞定位
Endosome membrane, Cell membrane
分子量
165kDa
暂无技术文档!
产品编号
产品名称
HL26317
HNF-4-alpha
HL32041
CD15 Recombinant Rabbit mAb (S009)
HL22700
HIF-1 alpha Recombinant Rabbit mAb (H778)
HL41437
Collagen III Antibody
HL06121
Insulin (Y1125) Mouse mAb
HL41478
E-Cadherin Antibody
HL23308
mmp2 Rabbit mAb
HL23506
CD45 Rabbit mAb
HL02249
Myeloperoxidase/MPO Mouse mAb
HL30677
CCR7 Rabbit mAb
HL04917
CD56 Mouse mAb
ABB00028
PD1 Rabbit mAb
HL32234
B7-H4
HL23142
CSF-1R
HL06866
Cytokeratin 20
ABB6427
PI3-kinase p85- alpha (Phospho-Tyr607)
HL18624
NRF2
HL04906
Neurofilament(NF-L) (Y456) Mouse mAb
HL04853
P53 (Y002) Mouse mAb
HL18630
Glut1 (Y0861) Rabbit mAb
Mediates the endocytosis of glycoproteins by macrophages. Binds both sulfated and non-sulfated polysaccharide chains. Acts as phagocytic receptor for bacteria, fungi and other pathogens.
暂无问答!
暂无引用文献!
×
MSDS下载
暂无MSDS!
×
COA下载
暂无COA!
×
询价
产品名称
数量
规格
单位名称
电话
E-Mail
QQ
备注说明
验证码
客服一
客服二
客服三
88888888
88888888
88888888
021-58153560
客服服务热线
微信公众号