技术服务Technical Service

CD3 epsilon

  • 宿主:Rabbit
  • 反应种属:Human,Mouse,Rat
  • 应用:IHC-P, mIHC,WB, IP
  • 货号:ABB00013
  • 20μl¥680
  • 50μl¥1200
  • 100μl¥2200
  • 500μl询价
  • 1mL询价
The T cell antigen receptor (TCR) recognizes foreign antigens and translates such recognition events into intracellular signals that elicit a change in the cell from a dormant to an activated state. Much of this signaling process can be attributed to a multisubunit complex of proteins that associates directly with the TCR. This complex has been designated CD3 (cluster of differentiation 3). CD3 is composed of four polypeptides: ζ, γ, ε and δ. Each of these polypeptides contains at least one immunoreceptor tyrosine-based activation motif (ITAM). Engagement of TCR complex with foreign antigens induces tyrosine phosphorylation in the ITAM motifs and phosphorylated ITAMs function as docking sites for signaling molecules such as ZAP-70 and p85 subunit of PI-3 kinase. TCR ligation also induces a conformational change in CD3ε, such that a proline region is exposed and then associates with the adaptor protein Nck.
产品名称 CD3 epsilon
来源宿主: Rabbit
反应种属: Human,Mouse,Rat
克隆类型 Rabbit monoclonal
克隆号 R1-37
同种型 IgG
标记 unconjugated
纯化方式 Protein A affinity purified
形式 Liquid
存储溶液 PBS (pH7.4),0.05% BSA,40% Glycerol. Preservative: 0.05% Sodium Azide.Stable for 12 months.
存储方式 Store at +4℃ after thawing. Aliquot store at -20℃. Avoid repeated freeze / thaw cycles.Stable for 12 months.
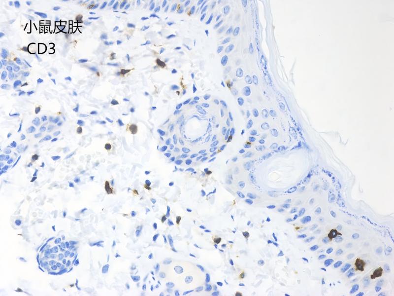
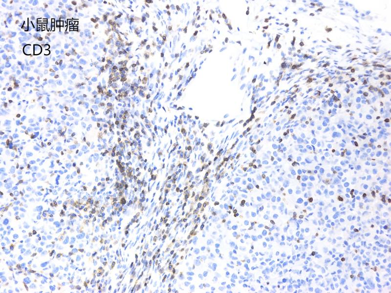
应用 IHC-P, mIHC,WB, IP
使用方法 IHC-P:1:100-1:500;mIHC:1:100-1:500; WB:1:500; IP:1:25
有效期 one year
别名 CD3E, CD3 epsilon, T-cell surface glycoprotein CD3 epsilon chain, T-cell surface antigen T3/Leu-4 epsilon chain, T3E
免疫原 N/A
SwissProt P07766
细胞定位 Membrane
分子量 23kDa
暂无技术文档!
暂无问答!
暂无引用文献!